歯石とは、お口の中で形成される石のように硬い堆積物のことをいいます。
主に歯の表面や歯ぐきの周りに付着し、クリーム色、黄色や茶色を帯びた見た目をしています。
歯石とは、お口の中で形成される石のように硬い堆積物のことをいいます。
主に歯の表面や歯ぐきの周りに付着し、クリーム色、黄色や茶色を帯びた見た目をしています。

歯石はお口に残った食べ物、細菌や唾液に含まれるカルシウムやリン酸などのミネラルといった要因から成り立ちます。
歯石の表面はザラザラしているため、その上にさらに汚れが付着しやすい状態となります。汚れが重なることで細菌も増殖しやすくなり、これが歯周病や口臭へと繋がる原因となります。
1.歯石が形成されるまでのステップとして、まずは歯垢(プラーク)が形成されます。
歯垢はお口の中で最も一般的な歯石の原因です。唾液で流されなかった食べ物の残りや細菌が混ざった粘着性の膜で、日常的な食事や飲食の後に歯の表面に付着します。
歯垢は食後から約8〜24時間ほどで形成されます。歯垢はいわゆる細菌の塊で、1mgの歯垢におよそ1億個以上の細菌が存在しているといわれています。

また、ネバネバしているためしっかりと歯の表面に付着し、うがいをしても簡単には除去できません。
2.歯垢が歯の表面に付着すると、唾液中に含まれるカルシウム、リン、マグネシウム、フッ素などのミネラルが歯垢に沈着し始めます。
このプロセスはミネラル化と呼ばれ、歯垢が硬化していきます。歯の表面はエナメル質と呼ばれ、このエナメル質にミネラルが付着することで硬度が高まります。この石灰化は2日ほどで始まるといわれています。
3.ミネラル化が進行すると歯垢が硬くなり、歯石として知られる堆積物が形成されます。歯石は2週間ほどで形成され、時間と共に成長し、歯の表面や歯ぐきの周りに固定します。
4.歯石は非常に硬く、歯ブラシやフロスなど通常の歯磨き用具では取り除くことはできません。
歯石はざらついた表面を持つため細菌の増殖に適しており、お口の中の健康を損なうリスクを増加させます。
歯科医院での定期検診やクリーニングを受けない場合には、歯石は成長し続け、歯周病や口臭などお口の中のトラブルを引き起こす可能性があります。
歯垢から歯石ができるまでの時間は個人や状況によって異なります。
一般的には2週間ほどで歯石になるといわれていますが、個人の歯の健康状態や歯垢の生成速度によって数週間から数ヵ月かかることもあります。しっかりと正しい歯磨きができている場合には、歯垢の除去ができているため、そもそも歯石が作られにくい環境であることが多いです。
他にも唾液中のミネラル濃度や唾液の量は、歯垢から歯石への変化に影響を及ぼす可能性があります。唾液が豊富でミネラルを供給しやすい場合、歯石の形成が速まることがあります。歯科医院での定期検診やクリーニングを受けることは歯石の形成を遅らせるのに役立ちます。
プロフェッショナルクリーニングを定期的に受けることで歯垢や歯石をしっかりと除去し、新たな歯石の形成を防ぎます。歯垢から歯石ができるまでの時間は多くの要因に左右されます。個人のお口の状態や生活習慣によって異なるため、歯科医院でアドバイスを受けつつ、適切なケアを続けていくことが大切です。
歯垢は食事や飲食の後にお口に残った食べ物や細菌、唾液などが混ざり合って作られる粘着性の膜です。
これが歯の表面や歯ぐきの周りに付着し、唾液中に含まれるミネラルが歯垢に沈着し始めます。
このプロセスにより歯垢が次第に硬くなり、歯石となります。では、その他にはどのようなことがあるのでしょうか。
食事習慣は歯石の形成に影響を及ぼします。
特に、砂糖や粘りのある食品を多く摂取すると細菌が増殖し、歯垢の形成と歯石の成長を促進します。不健康な食事習慣は歯石のリスクを高めます。
不適切な歯磨きやフロスの不使用など、隅々まで汚れが落としきれていないと歯石の原因となります。
歯垢を取り除くことは歯石の形成を食い止めることに繋がるため、毎日の適切なブラッシングが欠かせません。
唾液はお口の中の健康を保つのに重要な役割を果たします。
唾液の流れが減少したり、ミネラルの供給が不足したりした場合には、歯石の形成が促進される可能性があります。
唾液は食べ物の消化に欠かせないものですが、それだけでなくお口の中にある細菌の繁殖を抑える働きもあります。唾液が不足することでお口の中の細菌は活発に動き出します。
喫煙と過度なアルコール摂取は、お口の中の健康に悪影響を及ぼし歯垢の形成と歯石の成長を促進する要因とされています。
タバコに含まれるニコチンは、唾液の分泌量を減らしお口の中を乾燥させることで細菌の増殖を助長するといわれています。
また、過度なアルコール摂取では、アルコールの利尿作用によって脱水症状を引き起こしやすくなります。脱水症状になるとお口の中を潤すための唾液量も少なくなり、細菌の増殖に繋がってしまいます。
歯並び、歯の配置や歯ぐきの形状など、お口の中の解剖学的特徴も歯石の形成に影響を及ぼすことがあります。歯ブラシをしっかり当てられず、磨きにくい部分には歯石が溜まりやすくなってしまいます。
歯石がつきやすい部位は、歯垢が蓄積しやすい場所と一般的に同じです。歯石の形成には細菌と唾液が結びつきやすいことが欠かせません。
そのため、唾液が出てくる唾液腺の近くに歯石がつきやすくなります。
唾液の分泌量が多い耳下腺が上の奥歯の頬側(外側)、顎下腺と舌下腺が下の前歯の舌側(裏側)にそれぞれありますが、唾液が出やすい場所であり、歯石がつきやすい部位でもあります。
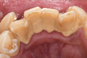
※30代・男性:歯並びが悪いこともあり、下前歯の裏に歯石の付きやすい方
特に下の前歯の舌側(裏側)は、唾液の影響で歯石がつきやすいだけでなく、自分では見えにくい部位であるために歯ブラシが当てにくく、どんなにしっかり磨いていても数ヵ月ごとのクリーニングが必要なほど歯石がつきやすい部位といわれています。
他にも、一番後ろの奥歯は歯ブラシが届きにくく、歯垢や歯石が溜まりやすい部位です。
歯と歯ぐきの境い目にも汚れが溜まりやすいです。歯ぐきのラインに沿って汚れが付着していることも多く、歯磨きの際に歯だけでなく歯ぐきも併せて優しく磨くことが大切です。上と下の歯がかみ合う、かみ合わせの表面は溝がありゴツゴツしているため汚れが残りやすい部位です。
歯と歯の間は歯ブラシだけでは汚れを落とすことは難しく、フロスや歯間ブラシなどの補助用具が欠かせません。
また、ワイヤーなどの矯正装置を付けている場合には、いつも以上に歯磨きの難易度が上がります。複雑な形をしている装置の周りに歯垢が溜まり、歯石が形成しやすくなります。
小さめの歯ブラシを使うなど工夫し、いつも以上に念入りに磨く必要があります。
歯石がつきやすい部位は、通常歯垢がたまりやすい部位と一致しますが、個人の歯の形状やかみ合わせ、ブラッシングの習慣などにも影響を受けます。
したがって、適切な歯磨き、フロスや歯間ブラシの使用を習慣化することで歯石の予防に繋がります。一度沈着してしまった歯石は歯ブラシでは落とすことができないため、定期的にプロによるクリーニングを受けて蓄積を防ぐことが大切です。
歯石をつきにくくするためには、適切なお口のケアと健康的な生活習慣を実践し、プラークコントロールをすることが重要です。歯石が形成されないように歯垢を溜めないこと、しっかり除去することがカギとなります。
毎日の適切なブラッシングが欠かせません。自分ではしっかり磨いているつもりでも磨き癖や磨きにくい部位があると歯垢を取りきれていなかったり、いつも同じ部位だけ汚れがたまっていたりすることがあります。人それぞれお口の中の状態が異なるため、汚れの残り方もさまざまです。
歯科医院でより効果的な磨き方をアドバイスしてもらうと良いでしょう。
苦手なところが分かると意識して磨けるようになり、改善が見られるはずです。歯ブラシは毛先の柔らかいものを選び、歯の表面や歯ぐきの周りを優しくこするように磨くと良いでしょう。
強い力でゴシゴシ磨く必要はなく、かえって歯や歯ぐきを傷つけてしまう恐れがあります。毎食後磨けると理想的ですが、少なくとも細菌が増殖しやすい就寝前にはしっかりと歯磨きをするように心がけましょう。
歯科医院でプロによる検診とクリーニングを受けましょう。
お口の状態にもよりますが、だいたい数ヵ月〜半年に一度の受診が好ましいです。定期的に歯垢や歯石をすっきり除去することで、新たに形成されるのを防ぐ効果があります。
歯石がたくさん形成されると見た目や舌触りで分かることもありますが、早期発見にはやはりプロに診てもらうのが良いでしょう。
虫歯治療から美しい歯を実現する審美歯科(歯のセラミック)やホワイトニング、歯を失ってしまった方へのインプラントや入れ歯まで総合診療を提供いたしております。
急な痛みや取れた外れたなどお口の中で何かお困りのことございましたらお気軽にご相談下さい。