歯石取りは、歯を健康に保つためには欠かせません。定期的に歯科医院で歯の掃除をすることが大切です。
どんなに一生懸命歯磨きしても完全に汚れを取り除くのは難しいものです。残った汚れは歯垢になり、やがて硬い歯石になるため、ご自分で取り除くのはますます困難になります。
とはいえ、歯石取りは痛いというイメージを持っている方は少なくないでしょう。このページではなぜ歯石取りは痛いのか、なぜ歯石取りは必要なのかを解説いたします。
歯石取りは、歯を健康に保つためには欠かせません。定期的に歯科医院で歯の掃除をすることが大切です。
どんなに一生懸命歯磨きしても完全に汚れを取り除くのは難しいものです。残った汚れは歯垢になり、やがて硬い歯石になるため、ご自分で取り除くのはますます困難になります。
とはいえ、歯石取りは痛いというイメージを持っている方は少なくないでしょう。このページではなぜ歯石取りは痛いのか、なぜ歯石取りは必要なのかを解説いたします。
歯科医院で歯石取りをしたら痛かったという経験がある方もいらっしゃるかと思います。
虫歯を治療したわけではないのになぜ痛いのか?その原因は人によって様々です。
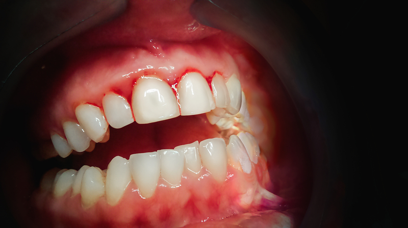
歯石取りで出血した経験はありませんか?それは歯ぐきからの出血が主な原因です。
汚れがたまると歯垢になり、歯ぐきは炎症を起こします。炎症を起こして赤く腫れた歯ぐきは弱っているので、歯ブラシをしっかり当てただけで出血することもあります。
そのため歯と歯ぐきの境目にこびり付いた汚れや歯垢、歯石を取り除くときに、歯ぐきが出血することがあるのです。
歯石の量が多いということは、その分強く器具が当たらないと汚れが取りにくいということです。
歯の掃除をする器具はスケーラーと言って、超音波で振動しながら水を出して汚れを取り除きます。歯石の量が少なければ、少しスケーラーを当てるだけで汚れは取れます。
しかし歯石の量が多い場合はその分たくさん振動を与えなければならず、痛みを感じやすい傾向にあります。
加齢や歯周病などの原因によって歯ぐきが下がっている場合、振動や水による痛みを感じやすくなります。
歯ぐきが下がっているところは、歯のエナメル質に覆われていない歯根の部分が出ているので、神経に近くなり知覚過敏のような痛みを感じやすいです。
歯の掃除をした後に歯が痛い、スース―する、しみるなんてことはありませんか?
たくさんの歯石が付いていた場合、それを取り除くと歯のすき間が開いたり歯根がむき出しになったりする場合があります。むき出しになった歯は当然今までより刺激を感じやすくなりますよね。例えば今まで服で覆われていたところが、服を取って風にさらされるのと同じようなものです。
しかしそれは一時的なことが多く、数日でおさまる場合がほとんどです。冷たい飲み物や暑い飲み物を控えたり、歯ブラシを柔らかめのものにしたりするなど刺激が加わりにくくすると良いでしょう。
それでももし痛みが続くような場合は一度受診しましょう。
歯石があっても痛くないから、わざわざ歯石取りのために歯科医院へ行く必要はないのでは?と思う方もいらっしゃるかと思います。
しかし、歯石取りは必要です。
歯石の多くは歯と歯ぐきの境目にこびり付きます。すると歯ぐきは炎症を起こして腫れたり出血したりと、歯周病の症状が現れるようになってしまいます。
また、歯石は表面がザラザラしているため、さらに汚れが付きやすい状態です。歯垢の段階ではまだ柔らかく歯ブラシでも取り除くことができますが、歯石は頑張っても歯ブラシで取り除くことができません。
したがって歯科医院でクリーニングが必要なのです。
歯の掃除をするときの痛みを減らすには、歯石を作らないことです。
普段から歯の汚れを落すよう気をつけることが歯石取りの負担を減らすことに繋がります。歯垢の段階では簡単に取り除くことができるので、なるべく汚れをためないことが大切です。
定期的にお口の中をチェックしクリーニングすることで、歯石の蓄積を防ぎます。
歯科医院や患者様のお口の状態によって異なりますが、検診は3~6ヵ月ごとがおすすめです。
歯並びが悪い場合は一生懸命磨いていても汚れは取り除きにくいですし、歯周病の方は少しでも汚れがたまらないことが歯ぐきのためには大切です。そのため1~2ヵ月ごとに通うことをおすすめする場合があります。
一方、汚れの付きにくい方は半年に1度のペースでご案内することもあります。
汚れが残りやすいのは主に歯と歯の境目や、歯と歯ぐきの境目です。歯ブラシの毛先が当たりにくく汚れが取りにくい部分なので、特に注意が必要になります。
歯と歯の境目は歯間ブラシやフロスで掃除するのがおすすめです。歯間ブラシは隙間の広い歯間に使い、フロスは隙間の空いていない歯間に使います。
歯ぐきの境目は歯ブラシの向きや角度を意識して丁寧に磨きましょう。歯ブラシは大きく動かすよりも細かくたくさん動かす方が効果的です。
歯の健康のためには汚れも虫歯もない状態を保つことが大切です。そのためには定期的に歯科医院でお口をチェックし、クリーニングすることは欠かせません。
歯石取りで痛い経験をしたことのある方は、通院をためらってしまうのも無理はありません。歯石取りが痛いのにはいくつかの原因があります。
主な原因は歯ぐきが炎症を起こしていること、歯石が大量にあること、歯ぐきが下がっていることなどです。
しかし普段の生活で汚れがたまらないようにすることが、歯石取りの際の痛みを減らすことに繋がります。
歯石がたまらないように毎日の歯磨きを見直し、定期検診へ行って健康な歯を保ちましょう。
虫歯治療から美しい歯を実現する審美歯科(歯のセラミック)やホワイトニング、歯を失ってしまった方へのインプラントや入れ歯まで総合診療を提供いたしております。
急な痛みや取れた外れたなどお口の中で何かお困りのことございましたらお気軽にご相談下さい。