本当は違う
ジルコニアとセラミック

ジルコニアとセラミックの違い
について

ホワイトニングについて

ジルコニアは酸化物で人工ダイヤモンドと言われています。固く、耐久性が高いのが特徴です。色は白く天然の歯と見分けがつかないほど綺麗ですが、透明度などはセラミックと比べると劣ってしまいます。ここ数年で歯の治療に用いられる機会が増えました。

セラミックは陶材のことで、例えると有田焼のような瀬戸物です。陶器と同じでツルツルしているので汚れや着色が付きづらいと言われています。お皿と同じで、硬いものの衝撃に弱い素材で、ジルコニアよりも割れやすいです。本物の歯のような色や透明度の再現性に優れています。

保険治療からジルコニアやセラミック
に変更した症例

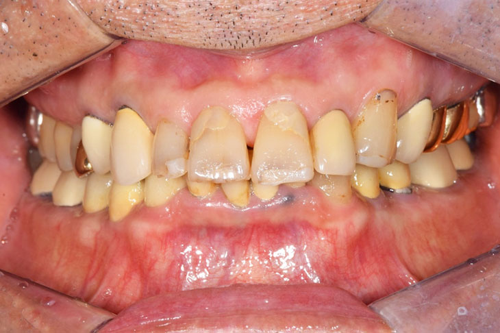
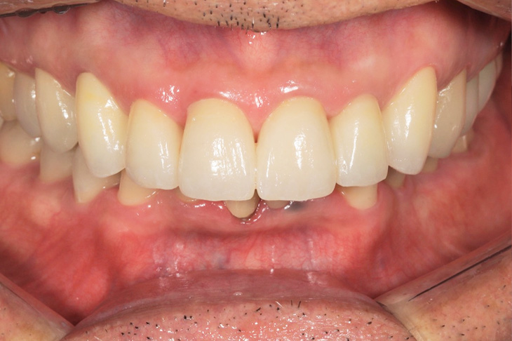
銀歯をジルコニアクラウンに変更した方の
症例

現在の治療費と異なる場合がございます。最新の治療費は料金表をご確認ください。

治療前

治療後

治療前

治療後

基本情報

年齢・性別 準備中
主訴 準備中
治療部位 準備中
治療内容 準備中
治療期間 準備中
治療費 準備中
リスク・副作用 準備中

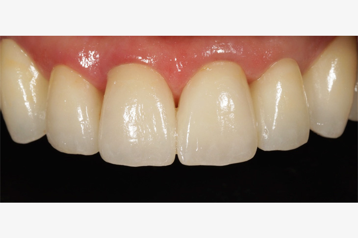
つめ物(CR)、保険の被せ物をジルコニア
ボンドに変更した方の例

治療前

治療後

治療後

基本情報

年齢・性別 50代・男性
主訴 前歯見た目気になる
右上123左上123
治療内容 右上123左上123
ジルコニアボンド
治療期間 約2ヶ月
治療費 990,000円
(※ジルコニアボンド1本165,000円)
リスク・副作用 歯軋りが強いと稀に割れることがある。

ジルコニアとセラミックの値段を比較

材料 治療
タイプ
費用
ジルコニア インレー 55,000円(税込)
クラウン 66,000~
187,000円(税込)
セラミック インレー 66,000円(税込)
クラウン 132,000円(税込)

※当院の価格です。使用している材料や作業工程で価格が変わり、歯科医院ごとに価格が設定されています。
※2025年4月1日以降の価格となります

ジルコニアとセラミックの色について

セラミックとジルコニアを比較すると透明性はセラミックが高く審美的です。

しかし最近ではジルコニアにステイニングと言われる色を塗って本物の歯を再現する技術が発展し審美性が高まっています。

まとめ

ジルコニアとセラミックは、どちらもお口の中に入ると本物の歯の色に合わせて作っているのもありますが、ご自身の歯のように自然に見えます。
かみ合わせや食いしばり、歯並び等により選択する材料が変わることもあります。担当医にご相談ください。

患者様のお悩みを解決する総合診療の
永福町うめはら歯科・矯正歯科 西永福駅前

虫歯治療から美しい歯を実現する審美歯科(歯のセラミック)やホワイトニング、歯を失ってしまった方へのインプラントや入れ歯まで総合診療を提供いたしております。

急な痛みや取れた外れたなどお口の中で何かお困りのことございましたらお気軽にご相談下さい。

西永福駅徒歩30秒の歯医者
【永福町うめはら歯科・矯正歯科 西永福駅前】

24時間WEB予約受付中!

当日のご予約はでお願いします。

西永福駅徒歩30秒の歯医者|永福町うめはら歯科・矯正歯科 西永福駅前